Expert Overview
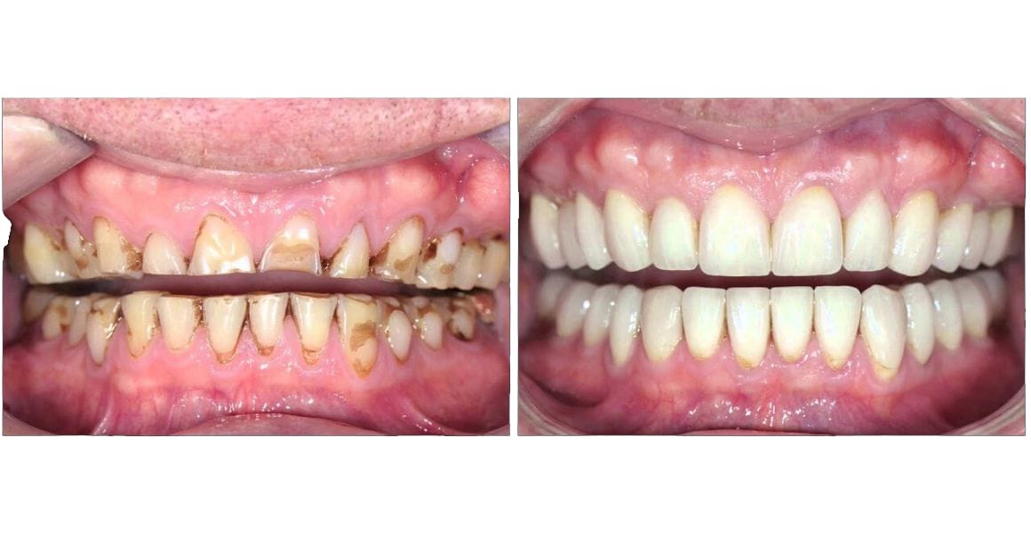
Full mouth rehabilitation is a comprehensive dental treatment that addresses multiple dental issues affecting the teeth, gums, and bite. It typically involves a combination of restorative procedures such as crowns, bridges, implants, and veneers. The goal is to restore both functionality and aesthetics, providing a healthy and balanced bite. This treatment is often customized to the patient’s specific needs and may involve collaboration with various dental specialists. Full mouth rehabilitation is ideal for those with extensive tooth wear, damage, or loss due to decay, trauma, or gum disease, as well as for those seeking cosmetic improvements.
Available Locations
LorVen Elite Dental offers specialized Full Mouth Rehabilitation with microscopic precision across major areas in Bangalore. Choose your nearest location for expert specialist care:
Full Mouth Rehabilitation in KR Puram
View details & maps
Full Mouth Rehabilitation in Whitefield
View details & maps
Full Mouth Rehabilitation in Battarahalli
View details & maps
Full Mouth Rehabilitation in Hoskote
View details & maps
Full Mouth Rehabilitation in Hoodi
View details & maps
Full Mouth Rehabilitation in Ramamurthy Nagar
View details & maps