Expert Overview
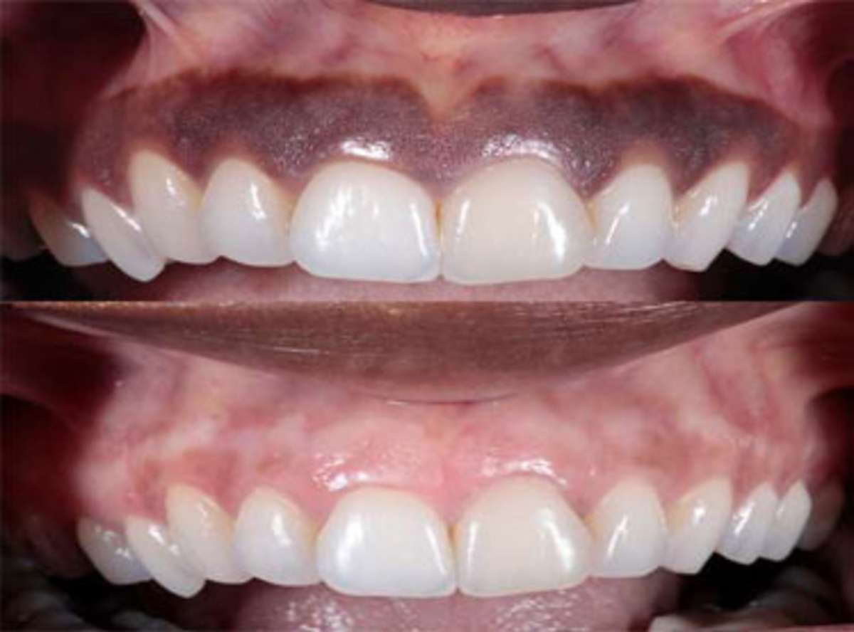
Gum depigmentation, or gingival depigmentation, is a cosmetic procedure aimed at removing or lightening dark pigmentation in the gums, often caused by melanin. While melanin pigmentation is harmless, it can affect a person’s confidence if they feel self-conscious about dark-coloured gums, particularly when it contrasts with bright teeth. Gum depigmentation provides a safe and effective way to enhance the appearance of a child’s smile, often using gentle techniques such as laser treatment or surgical scraping. The procedure is safe and tailored to young patients, ensuring comfort and quick healing.
Available Locations
LorVen Elite Dental offers specialized Gum Depigmentation with microscopic precision across major areas in Bangalore. Choose your nearest location for expert specialist care:
Gum Depigmentation in KR Puram
View details & maps
Gum Depigmentation in Whitefield
View details & maps
Gum Depigmentation in Battarahalli
View details & maps
Gum Depigmentation in Hoskote
View details & maps
Gum Depigmentation in Hoodi
View details & maps
Gum Depigmentation in Ramamurthy Nagar
View details & maps